
We evaluate your gums with gentle probing and digital x-rays to detect signs of gingivitis or periodontitis.

We evaluate your gums with gentle probing and digital x-rays to detect signs of gingivitis or periodontitis.

Scaling and root planing is performed to remove plaque and tartar from below the gumline, helping gums heal and reattach.

We schedule regular periodontal cleanings and monitor your gum health to prevent progression of the disease.

If needed, we may recommend laser therapy, gum grafting, or surgery to restore gum health and prevent tooth loss.
Gum disease, or periodontal disease, is a prevalent condition affecting many, stemming from inadequate oral hygiene that allows bacteria to flourish between teeth and gums.
This bacterial buildup can lead to gingivitis, characterized by inflamed gums, and if not addressed, can advance to more severe stages impacting the jawbone. At Artistic Smiles in Miami, Florida, we prioritize early detection and treatment of gum disease to prevent its progression. Our approach to treatment varies with the condition’s severity, ranging from regular dental cleanings for early stages to employing the latest and most effective treatment methods for advanced cases.
Our commitment is to restore and maintain your oral health using comprehensive, advanced care tailored to your specific needs.
At Artistic Smiles, we have very clear goals:
to be the best dental clinic in Kendall Miami, and to improve our patients’ quality of life using the most innovative techniques.
We offer a completely free first consultation. A dentist will perform an initial diagnosis and the necessary tests to offer you the best treatment.
Today, thanks to our extensive experience, outstanding results, and patient satisfaction, we have achieved the goal of providing the best dental solutions.
Maximum patient care to determine the best treatment and enhance their quality of life.
Specialized team with great experience and a commitment to continuous training.
State-of-the-art technology to ensure precision, safety, and the best aesthetic results in every procedure.
EXCELLENT Based on 48 reviews Posted on Arlette De la Horra Excelente servicio y buenos precios.Muchas gracias al doctor y a su equipo🙏🏻❤️Posted on Derek Diaz I’ve been going to Artistic Smiles for almost 18 years and Tay has always been my hygienist. She is amazing. My daughter started with her as well since she was 2 years old. We absolutely love Tay and the office. Dr. Yon is also great and has a fantastic staff. You all rock!! Thank you for everything.Posted on Claudia Kettel Tay is an amazing dental hygienist! She does a wonderful job and has a lovely personality. It is always a pleasure to see her. Dr Yon is also amazing at his work. A true professional at heart! I have been coming to this office for 8 years with my entire family and wouldn’t change them for the world.Posted on Francia Elena Blanco I Want to congratulate the amazing job Tahi did, she is the best hygienist I ever had 👏👏Posted on Heather Rodriguez The staff is excellent!!! Everyone is very professional & welcoming. Dr. Elejabarrieta and his assistant do a phenomenal job on all procedures. Highly recommend this dental office!Posted on Kris K Looking for a phenomenal dentist office? You’ve found it! Dr. Yon and his team are ⭐️⭐️⭐️⭐️⭐️ I’ve never had to wait long to be seen for an appointment, they’ve always kept me informed on my dental health, and they honestly care about their patients. To put it in perspective I live in Miami Beach where there are hundreds of dentists but I travel all the way to sunset for Artistic Smiles. Call them, make an appointment; you won’t regret it!Posted on Felipe Frias I've been a patient of Artistic Smiles for as long as I can remember and I know why - professional, courteous, and clean. I've sent everyone in my family to Artistic Smiles simply because I would trust any other dentist to treat my family.Posted on Ana Paula Benaduce I genuinely say that Dr. Yon Elejabarrieta is an amazing dentist. He is extremely knowledgeable and professional. You can clearly see he loves what he does and that he is there to help all patients. Besides being an excellent dentists, he is extremely fair with prices. If you go see Dr. Yon Elejabarrieta, I can guarantee you are in great hands. I cannot recommend him enough!Posted on Sebastian Bullemore First of all I don't like dentist because I had so many bad experiences, I needed a surgery to replace a tooth and somebody recommend Artistic Smiles to my wife. I came without reluctance and expecting the worst. But I was wrong, I'm 110% pleased I did not feel pain at all and I left smiling. It is an impressive professional team, and although I do not like to make recommendations but I will make an exception with them... I recommend Artistic Smiles 100%
EXCELLENT Based on 21 reviews Posted on Nachi D.Verified Where do I begin in singing the praises of this place??? Never an issue with parking though there are several offices you can always find a nearby spot. The office waiting area is clean and the front staff so prompt to greet and check you in. You're in at your scheduled time....never after....unheard of in Miami I know!!!! But I promise you it's true!!! The hygienist are great and welcoming. The office is so clean and beyond reproach with COVID measures being taken. Dr. Yon is gentle and professional. He walks you through it all and makes sure you understand it all. I just changed insurance and my biggest concern was to make sure they accepted it...happy to report they do!!! For years I've looked for the right dentist and this is it for me!Posted on Vanessa C.Verified Wow wow wow is one thing I can say! I am so very happy i found Dr.Yon, I was referred by someone and I have to say I am a very picky person. I've been looking for a good dentist for a root canal and crown work and I have to say I found him! The root canal was painless and my crown work is beautiful! No pain, super nice people and the doctor's is so professional and gentle and just perfect at what he does! I am so happy I meet "Artistic Smiles"Posted on Teri H.Verified Simple- uncomplicated- completely painless. The office staff is easy going, quiet. The dentist Dr. E is amazing! Cares about your comfort level and all about the details. I cannot recommend them enough! Thank you for caring about your patients.Posted on Alex S.Verified Dr. Yon has been my dentist for years. He and his staff are excellent: the office runs on time and you are always greeted with a smile. Beyond that, Dr. Yon and his hygienists are very good at what they do. I wouldn't go anywhere else.Posted on Hira A.Verified I have had the best experience here. The staff is so nice, caring, sweet, and great in every way. Everyone at this clinic made my dental visits as comfortable as possible. I love how the staff was able to work with me with the finances and how the doctor was able to give me everything I wanted. Dr. Yon is very knowledgeable and empathetic. He takes his time to understand his patients needs and helps give the patient exactly what they want with his dental knowledge. I love how he was able to explain everything to me in detail and how understanding he was with me and my needs. I have decided that I will not go to any other dental office besides this one. The service here is the best and I recommend everyone to try this place!Posted on Josie U.Verified Amazing experience at Artistic Smile with Dr. Yon and staff. Their professional and hospitable. Dr. Yon makes going to the dentist an event to look forward to. I know...you're thinking too much. But thanks to him and his expertise with Invisalign, I now have straight teeth. He fixed what braces couldn't years ago. Thank you, Dr. Yon!Posted on Jorge L. C.Verified Like many people I'm not a fan of going to see the dentist, but Dr. Elejabarrieta couldn't have been nicer, very understanding and made me feel at ease. It was my first time at Artistic Smiles and I highly recommend having Dr. Elejabarrieta as your dentist. Dr. Elejabarrieta and his staff are extremely professional. The teeth cleaning was quick and thorough and Dr. Elejabarrieta was great at explaining what was going on with my teeth. The office very conveniently sends text and e-mail reminders for follow-up appointments. Highly recommend Artistic Smiles for a great dental experience.Posted on Nicole H.Verified Dentistry is one of those professions where there are a lot of not so great dentist out there and like most people I have had a few bad experiences in the past so I am always hesitant to try a new place. My dentist retired so I was forced to find a new one. Thanks to Yelp I found this dentist and I am very happy so far. I went once for a cleaning and a second time to fix a cavity and everything went really well. The office is clean, organized, and well run and I did not have to wait when I arrived for either appointment. I love doctors who respect your time! For the cleaning I was in and out of there in 30 minutes and the lady who did my cleaning was nice and not rough. I told them I did not want to do x-rays as I am trying to avoid unnecessary radiation and they were respectful of my wishes and were not pushy about it which I really appreciated. I went the following week to fix a cavity and the doctor was nice and continuously checked on me throughout to make sure I was comfortable and pain free. The t.v. screens on the ceiling of each room are a great amenity to ensure you are not bored while having work done. Doctor was gentle and quick and I was out of there in 20 minutes. Fastest dental appointment I have ever been too. I am glad I found a great new dentist and will be back!Posted on Julie K.Verified I've been to artistic smiles to get a teeth cleaning and it was an amazing experience. I highly recommend having Dr. Yon as your dentist. Dr. Yon and his staff are extremely professional and kind, the teeth cleaning was quick and thorough and Dr. Yon was great at explaining what was going on with my teeth. The office is beautiful, spotless, and modern - going to artistic smiles is a great dental experience.Posted on Chingolo C.Verified Dr. Yon Elejabarrieta is one of the best dentists in Miami. He has excellent bedside manners and makes his patients feel right at home in his office. He explains every procedure with detail and makes you feel comfortable. His skills are so good, that I hardly felt it when he injected anesthesia into my mouth. His staff is very professional and his office is super clean. I've had a great experience with Dr. Yon.












Dr. Yon’s has taken extensive post-graduate courses in various dental specialties such as endodontics, cosmetic dentistry, and orthodontics.
Dr. Rafael Porras DDS, MSD, is a Board-Certified Periodontist and Dental Implant Specialist practicing in South Florida.
Dr. Moldauer is a Diplomate of the American Board of Endodontics and a specialist member of the American Association of Endodontists.
Dr. Justin Schneider is an accomplished Oral Maxillofacial Surgeon with extensive experience between Illinois, New York, Texas and Florida.
At Artistic Smiles, we provide excellent all-in-one dental care tailored to all ages. We ensure your treatment is both conservative and effective to make your dental health easy and budget-friendly with our flexible payment options and broad insurance acceptance.
Cosmetic dentistry enhances your teeth’s appearance and bite through aesthetic procedures.
Family dentistry provides comprehensive dental care, including prevention and treatment of various dental issues.
Implant dentistry specializes in replacing missing teeth, offering long-term solutions for tooth loss.
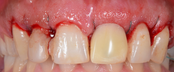
Gum disease, also known as periodontal disease, is a bacterial infection that affects the tissues supporting the teeth. It begins with plaque accumulation along the gumline, which leads to inflammation and bleeding known as gingivitis. If left untreated, gingivitis can progress to periodontitis, where the infection spreads below the gums and begins to damage the bone and connective tissues that hold teeth in place. Over time, this can result in gum recession, tooth mobility, and even tooth loss.
At Artistic Smiles in Miami, early detection is a priority. The dental team uses gentle probing and digital X-rays to assess gum health and identify signs of disease in its initial stages. When caught early, gum disease can often be reversed through non-surgical procedures like teeth cleaning and improved home care. More advanced cases may require targeted periodontal treatments to stop the progression.
Understanding gum disease is the first step toward protecting your oral health. Prompt intervention helps preserve your natural teeth and prevents the need for more invasive treatments later on.
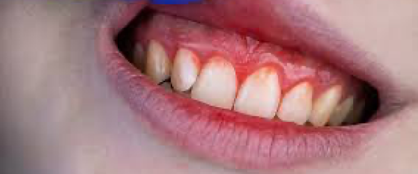
Recognizing the signs of gum disease early can prevent serious damage. Common symptoms include red, swollen, or bleeding gums when brushing or flossing. Persistent bad breath, receding gums, tooth sensitivity, and loose teeth are also indicators of underlying periodontal problems. In many cases, early gum disease may not cause noticeable discomfort, which is why regular dental checkups are crucial for early detection.
The specialists at Artistic Smiles perform thorough gum assessments during routine visits. Using digital imaging and periodontal probing, they evaluate pocket depth and bone health to detect even subtle changes. This proactive approach allows them to identify gingivitis and periodontitis before significant damage occurs, giving patients more treatment options.
Paying attention to these symptoms and scheduling regular dental visits ensures that potential problems are addressed early, maintaining healthy gums and a stable foundation for your teeth.
The outcome depends on the stage at which gum disease is diagnosed. Gingivitis, the earliest form, is reversible with professional cleanings and consistent oral hygiene at home. Periodontitis, which involves bone loss and deeper infection, cannot be fully reversed but can be controlled with targeted treatments. The goal is to stop the progression of the disease, stabilize the tissues, and maintain gum and bone health over time.
At Artistic Smiles in Miami, treatment plans are personalized based on the severity of the condition. Non-surgical options like scaling and root planing are often the first step, followed by regular periodontal maintenance visits to prevent recurrence. In more advanced cases, laser therapy or periodontal treatment may be recommended to address deep pockets and restore gum health.
While advanced gum disease requires ongoing management, early and consistent care makes it possible to keep gums healthy and prevent tooth loss for many years.
Treatment for gum disease depends on the severity and progression of the condition. For gingivitis, professional teeth cleaning and improved home care often reverse inflammation. In cases of periodontitis, non-surgical treatments like scaling and root planing remove plaque and tartar below the gumline, allowing tissues to heal and reattach to the teeth. For more advanced stages, surgical procedures may be needed to access deep pockets and regenerate lost tissue.
The team at Artistic Smiles combines advanced periodontal techniques with modern technology to deliver effective results. Depending on the case, treatments may include laser therapy, gum grafting, or specialized periodontal treatment to restore healthy support structures. Regular follow-ups are scheduled to monitor healing and maintain long-term stability.
Comprehensive gum disease treatment helps preserve natural teeth, prevent bone loss, and protect overall oral health, leading to a healthier smile and better function.
Preventing gum disease starts with a strong daily oral hygiene routine and regular professional care. Brushing twice a day, flossing daily, and using antibacterial mouthwash help reduce plaque buildup and bacteria around the gums. Avoiding tobacco use and maintaining a balanced diet also support gum health. Regular dental checkups allow early detection of any changes that might lead to periodontal problems if left untreated.
At Artistic Smiles, preventive care is central to maintaining healthy gums. Professional cleanings, thorough gum assessments, and patient education are integrated into every visit. For patients with a history of gum disease, more frequent periodontal maintenance appointments may be scheduled to keep bacteria under control and prevent recurrence.
Establishing good habits and staying consistent with professional visits ensures your gums remain healthy, supporting long-term oral health and reducing the risk of future complications.
Gum disease does not only impact the mouth, it has been linked to various systemic conditions such as heart disease, diabetes, respiratory issues, and complications during pregnancy. Chronic inflammation caused by periodontitis allows bacteria to enter the bloodstream, which can worsen existing medical conditions or trigger new ones. Studies have shown that individuals with uncontrolled gum disease often face higher risks of cardiovascular problems and difficulty managing blood sugar levels.
At Artistic Smiles in Miami, dental evaluations include a careful review of medical history to identify any potential connections between gum health and systemic conditions. The team collaborates with patients to develop treatment plans that not only address periodontal disease but also support overall wellness. Regular teeth cleanings and periodontal maintenance are key to reducing inflammation and bacterial load.
Taking gum disease seriously benefits more than your smile. Managing inflammation helps protect your heart, control diabetes, and improve overall health outcomes over time.
The timeline for treating gum disease depends on the severity of the condition and the type of treatment needed. Early gingivitis can often be reversed with one or two professional cleanings and improved home care. Moderate to advanced periodontitis typically requires multiple deep cleaning sessions, known as scaling and root planing, spaced over a few weeks to allow proper healing. For more complex cases, surgical treatments or laser therapy may extend the timeline.
The dental team at Artistic Smiles creates personalized treatment plans based on individual needs. They schedule follow-up visits to monitor healing, adjust the treatment as needed, and ensure that periodontal pockets are responding properly. Long-term maintenance visits are often recommended every three to four months to keep bacteria under control.
Consistent treatment and follow-up lead to healthier gums and lasting results. Addressing gum disease step by step ensures thorough healing and prevents recurrence.
Ignoring gum disease can lead to progressive damage that affects both your oral and overall health. Gingivitis may seem minor at first, but without professional intervention it can evolve into periodontitis, causing gum recession, bone loss, and loose teeth. Over time, untreated periodontal disease often results in tooth loss and increased risks of systemic complications like cardiovascular disease and diabetes-related issues.
At Artistic Smiles in Miami, dentists emphasize early detection to prevent these long-term consequences. Through periodontal assessments and deep cleaning, they target bacteria below the gumline to stop disease progression. For advanced cases, periodontal treatment may be needed to stabilize tissues and protect remaining teeth.
Timely care helps preserve natural teeth, maintain bone support, and avoid complex restorative procedures in the future.
Gum disease treatment can stop the progression of the condition, but long-term success depends on ongoing care and maintenance. Gingivitis can be fully reversed, but periodontitis requires continuous management through professional cleanings, proper home hygiene, and lifestyle adjustments. Without consistent follow-up, bacteria can recolonize the gums, leading to recurrence and further damage.
The specialists at Artistic Smiles schedule regular periodontal maintenance visits for patients with a history of gum disease. These visits allow them to clean deeper areas, monitor gum pocket depths, and adjust treatment if signs of inflammation return. Patients are also educated on daily oral care practices to keep their gums healthy between appointments.
Gum disease control is a lifelong commitment. Regular maintenance ensures stable results and protects your oral health in the long term.
Although gum disease is more common in adults, children and teenagers can also develop gingivitis and, in rare cases, early-onset periodontitis. Poor brushing habits, orthodontic appliances that trap plaque, hormonal changes during puberty, and certain medical conditions can increase the risk. Early signs like bleeding gums, bad breath, or gum swelling should not be ignored, as timely intervention can prevent progression.
At Artistic Smiles, pediatric dental care includes thorough gum evaluations during every visit. The team focuses on education, professional cleanings, and targeted preventive strategies to keep young patients’ gums healthy. If early gum problems are detected, treatment plans are adapted to the child’s specific age and needs.
Early detection and proper care ensure that children and teenagers maintain healthy gums as they grow, setting the foundation for strong oral health in adulthood.